Febrile Neutropenia



Russell E. Lewis
Associate Professor of Infectious Diseases
Department of Molecular Medicine
University of Padua

russelledward.lewis@unipd.it
https://github.com/Russlewisbo
Slides and course materials: www.padovaid.com

Objectives


  • What are the most common infections associated with short versus prolonged neutropenia?

  • How does the presentation of skin, mucocutaneous lesions, abdominal pain or pneumonia change the infection differential diagnosis?

  • What are common empiric antimicrobial regimens used to treat patients while awaiting diagnostic results?

Normal hematopoiesis


  • Myeloid lineage (neutrophils / platelets)

    • Homogeneous, terminally differentiated effector cells
    • Short-lived, post-mitotic
    • Continuous high-throughput production
    • Rapid quantitative recovery after chemotherapy
      (≈2–3 weeks)
  • Lymphoid lineage (T, B, NK cells)

    • Highly heterogeneous populations
    • Mix of short-lived effector cells and long-lived memory cells

Chemotherapy-associated neutropenia


  • Antineoplastic chemotherapy impairs proliferation of normal hematopoietic progenitor cells

    • Obliteration of the mitotic pool

    • Depletion of the marrow reserve

  • Antineoplastic drugs, glucocorticoids and irradiation also interfere with the function of non-proliferating granulocytes, resulting in:

    • Decreased chemotaxis

    • Diminished phagocytic capacity

    • Defective intracellular killing

Corticosteroids



Paradoxical effects:

  • ↑ Granulocytopoiesis (apparent benefit)
    • ↓ Accumulation at infection site
  • ↓ Adherent capacity
  • ↓ Chemotaxis
  • ↓ Phagocytosis
  • ↓ Intracellular killing

Immunity and innate immune cells

Cells Molecules Active against

PMNs

  • 1° granules

  • Specific granules


  • Lysozyme, myeloperoxidase with (with H2O2)

  • Defensins, BPI, lactoferrin

Bacteria, fungi
Macrophages
  • Similar to PMN but no myeloperoxidase

  • Nitric oxide

  • Arginase

Intracellular pathogens
(depletes arginine)
Eosinophils
  • Cationic proteins

  • Major basic protein

  • Peroxidase

Worms (extracellular)
Natural killing (NK) cells
  • Perforins

  • Granzymes

Viral or bacterial infected cells

Quantitative relationship of neutropenia
with infection risk

Granulocytes (neutrophils)


  • Chemotherapy & radiation → neutropenia
  • Duration: Nadir 10-14 days, duration 3-4 weeks or longer
  • Primary risk factor for bacterial and fungal infections
  • Risk of infection increases with:
    • Depth of neutropenia
    • Duration of neutropenia
    • Concurrent organ dysfunction

Risk by disease type


Disease Risk Level
Acute myeloid leukemia Highest
High-risk ALL, Relapsing leukemia High
Low-risk ALL, CLL, Myeloma Moderate
Non-Hodgkin lymphoma Lower
Solid tumors Lowest



Clinical signs if infection are muted in neutropenic patients


% of patients who have a neutrophil count/mm3 :


Signs and Symptoms <100 101-1000 >1000
Fever 98 90 76
Fluctuance 6 36 52
Fissure or ulceration 21 42 54
Exudate 11 64 91
Purulent sputum 8 67 84
Pyuria 11 63 97

The integument

Skin:

  • Chemotherapy → hair loss, dryness
  • Catheters → direct microbial access
  • Broken skin → S. aureus, gram-negatives

Oropharynx:

  • Xerostomia + antibiotics → thrush, bacterial overgrowth

Alimentary Tract


  • Microbiome disruptionClostridioides difficile
  • Mucosal barrier injury from chemotherapy
  • Facilitates bacterial translocation
  • Neutropenia allows progression to sepsis

Chemotherapy-associated dysbiosis

Model of mucosal barrier injury

Mucositis

WHO oral toxicity scale

Which pathogens translocate?

Most common bacterial pathogens




  • Infectious source documented in only 20-30% of episodes
  • Bacteremia documented in 10-25% of patients with fever
  • Aerobic Gram-positive and Gram-negative

Sequence of infection

Risk of infection vs. duration of neutropenia



Phase I (1-10 days)

  • CONS - Staphylococcus spp.

  • Enterobacterales

  • Viridans streptococci

  • Anaerobes

  • Enterococcus

  • Clostroides diffile

  • Herpes simplex

  • +/- Candida spp.

Phase II (10-27 days)

  • Phase I pathogens plus

  • Methicillin-resistant S. aures (MRSA)

  • Vancomycin-resistant Enterococcus (VRE)

  • Resistant gram-negative bacteria

  • Stenotrophomonas maltophilia


  • Herpes simplex
  • +/- Candida spp.

Phase III (> 27 days)

  • Phase I&II pathogens, plus + Invasive molds

Invasive pulmonary aspergillosis risk vs. neutropenia


Non-neutropenic risk factors


  • Mucositis - Barrier disruption, translocation

  • Central venous catheters - Entry point for pathogens

  • Microbiome alterations - Chemotherapy-induced dysbiosis

  • Immunosuppressive drugs - T-cell depletion

  • Biologic agents - Targeted immune effects

Biologic agents and infection risk


Agent Key Infections
Rituximab HBV reactivation, PML
Brentuximab PCP, PML
Bortezomib VZV reactivation
Ruxolitinib VZV, TB
Idelalisib HSV, CMV, PCP
Ibrutinib IFD (with steroids)

Impaired cell-mediated immunity increases the spectrum of possible pathogens


:

Changing bacterial epidemiology


Historical trend:

  • 1980s-2000s: Gram-positive predominance
  • Recent: Gram-negative resurgence

Current ratio (ECIL-4 surveillance):

  • Gram-positive: 55%
  • Gram-negative: 45%

Resistant pathogens of concern


Gram-negative:

  • ESBL-producing Enterobacterales
  • Carbapenem-resistant Enterobacterales (CRE)
  • Stenotrophomonas maltophilia (carbapenem-resistant)
  • MDR Pseudomonas aeruginosa

Gram-positive:

  • MRSA
  • Vancomycin-resistant enterococci (VRE)

Risk factors for resistant infections


  1. Previous infection/colonization with MDR organism
  2. Prior broad-spectrum antibiotic exposure
  3. Healthcare-associated infection
  4. Prolonged hospitalization
  5. Urinary catheter
  6. Older age
  7. ICU admission

Fungal pathogens


Most Common:

  • Aspergillus species (now > Candida in hematology)
  • Candida species (increasing non-albicans)

Emerging concerns:

  • Candida auris - MDR, biofilm-forming
  • Azole-resistant Aspergillus fumigatus
  • Mucorales (increasing in some centers)

Invasive aspergillosis risk


Population Incidence
Acute myelogenous leukemia (induction) 7.9%
Acute lymphocytic leukemia (adults) 4.3-11.7%
Chronic myelogenous leukemia 2.3%
Chronic lymphocytic leukemia,
lymphoma, myeloma
<1%
Autologous HSCT 0.3-2%
Allogeneic HSCT 8-15%

Viral Infections


Herpes viruses:

  • HSV reactivation: 60% of seropositive with acute leukemia
  • VZV: Increased with bortezomib, ruxolitinib
  • CMV: T-cell suppressing regimens

Respiratory viruses:

  • Influenza, RSV, parainfluenza
  • SARS-CoV-2: High morbidity/mortality in cancer patients





Prophylaxis Strategies

Antibacterial Prophylaxis


Fluoroquinolone prophylaxis:

Pros Cons
Reduces febrile episodes Increasing resistance,
especially selection of ESBL
Reduces BSI No mortality benefit (recent data)
Oral administration Drug interactions
QT prolongation, tendinopathy


Current status: Controversial; some guidelines no longer recommend especially in centeres with high levels of resistance

Antifungal prophylaxis - Key points


When to use mold-active prophylaxis:

  • Anticipated IFD incidence >8%
  • AML/MDS induction chemotherapy
  • High-risk ALL
  • Relapsing leukemia

Posaconazole:

  • Number needed to treat (NNT) to prevent 1 IFD: 16
  • Number needed to treat (NNT) to prevent 1 death: 27

Antifungal prophylaxis


Agent Dose Indication
Fluconazole 400 mg daily Candidiasis risk only
Posaconazole tablets 300 mg BID day 1, then 300 mg daily AML/MDS/ BMT
Voriconazole 200 mg BID Alternative
(TDM needed)
Isavuconazole 200 mg daily (after loading) Alternative, not “approved” for prophylaxis indication


Problem: Drug interactions with agents metabolized through CYP3A4. Interactions are less severe with fluconazole and isavuconazole (weak CYP3A4 inhibitors) vs. posaconazole and voriconazole (strong CYP3A4 inhibitors)

Pneumocystis prophylaxis


Indications:

  • ALL (all ages)
  • Fludarabine, alemtuzumab, idelalisib therapy (T-cell suppressing chemotherapy)
  • Corticosteroids ≥10-20 mg/day × 4 weeks
  • CD4 <200/µL

First-line: TMP-SMX 160/800 mg 3×/week

Alternatives: Dapsone, atovaquone, aerosolized pentamidine

Antiviral prophylaxis


HSV/VZV:

  • Acyclovir 800 mg BID or valacyclovir 500 mg BID
  • For seropositive patients with acute leukemia
  • Required with bortezomib, alemtuzumab, idelalisib

HBV:

  • Screen all patients before chemotherapy
  • Entecavir or tenofovir for HBsAg-positive
  • Continue 6-18 months post-chemotherapy

Granulocyte-colony stimulating factor (G-CSF)

Primary prophylaxis:

  • When febrile neutropenia risk >20%
  • Based on age, comorbidities, regimen

Secondary prophylaxis:

  • After prior neutropenic complication
  • When dose reduction would compromise outcomes

Vaccination recommendations


Vaccine Timing Notes
Influenza Annual Avoid during intensive chemo
Pneumococcal (PCV) Before chemo if possible Better response than PPSV23
SARS-CoV-2 3-dose primary + boosters All patients and contacts
Herpes zoster (RZV) VZV seropositive Inactivated vaccine





Management of Febrile Neutropenia

Definition of Fever


For starting empirical antibiotics:

  • Single temperature ≥38.5°C (oral/axillary), OR
  • Two measurements ≥38.0°C separated by ≥1 hour

Also treat infection suspected with:

  • Hypothermia (<35.5°C)
  • Altered mental status
  • Hypotension
  • Skin/mucosal lesions

Classification of Episodes


  1. Microbiologically documented with bacteremia - Positive blood culture
  2. Microbiologically documented without bacteremia - Other site culture positive
  3. Clinically documented - Signs/symptoms without microbiologic proof
  4. Fever of unknown origin (FUO) - No clinical or microbiologic documentation

Risk Stratification: MASCC Score


Variable Points
Burden of illness: none/mild 5
Burden of illness: moderate 3
No hypotension 5
No COPD 4
Solid tumor/no prior fungal infection 4
Outpatient status 3
No dehydration 3
Age <60 years 2
Score >21: Low risk

Risk Stratification: CISNE Score


Variable Points
ECOG PS ≥2 2
Hyperglycemia stress 2
COPD 1
Cardiovascular disease 1
Mucositis grade ≥2 1
Monocytes <200/µL 1
Score ≥3: High risk (for solid tumor patients)

Treatment strategies


Two main approaches:

Escalation:

  • Start narrow, broaden if needed
  • For stable patients without risk of MDR pathogens

De-escalation:

  • Start broad, narrow when microbiology results available
  • For unstable patients or MDR colonization

Escalation Strategy


Day 0:

  • Anti-Pseudomonas β-lactam monotherapy
  • Piperacillin-tazobactam, cefepime, or ceftazidime

Day 2-4 (if needed):

  • Add vancomycin if skin/catheter infection
  • Add aminoglycoside and/or change to anti-pseudomonal carbapenem if septic
  • Add antifungal if persistent fever

De-escalation Strategy

Day 0:

  • Carbapenem (meropenem) ± aminoglycoside
  • Or targeted therapy based on colonization

Day 2-4:

  • De-escalate based on cultures
  • Stop aminoglycoside if not needed
  • Narrow spectrum if pathogen identified

Key antibiotics for empiric treatment


Drug Adult Dose Administration When
Piperacillin-tazobactam 4.5 g q6-8h Extended/continuous infusion Low risk of ESBL
Cefepime 2 g q8h Extended infusion Low risk of ESBL- active at lower inoculum
Meropenem 1-2 g q8h Extended infusion (3-6h) Higher risk of ESBL
Ceftazidime-avibactam 2.5 g q8h 2-hour infusion Higher risk of KPC carbapenemase
Ceftolozane-tazobactam 1.5-3 g q8h 1-hour infusion Higher risk of MDR P. aeruginosa

Glycopeptide use (to cover MRSA)


Add vancomycin or alternative for:

  • Suspected catheter-related infection
  • Skin/soft tissue infection
  • Known MRSA colonization
  • Severe sepsis with hypotension
  • Pneumonia
  • Prior MRSA infection

Stop after 48-72h if no gram-positive pathogen identified

Duration of Therapy


For FUO:

  • If afebrile 48-72h + clinically stable: consider stopping
  • Short courses (72h) shown safe in selected patients

For documented infection:

  • Guided by pathogen, site, and response
  • Generally until neutrophil recovery and clinical cure





Antifungal Therapy

Empirical vs Diagnostic-Driven Approach


Empirical:

  • Start antifungal after 4-7 days persistent fever
  • Traditional approach; high antifungal exposure-overtreatment of patients

Diagnostic-driven:

  • Use biomarkers (GM, BDG) + CT imaging
  • Reduces unnecessary antifungal use
  • Requires good diagnostic infrastructure

GM -galactomannan ELISA test, BDG- β-D-glucan

Diagnostic Tools


Test Target Specimen
Galactomannan (GM) Aspergillus Serum, BAL
β-D-glucan (BDG) Broad fungi (not Mucorales) Serum
PCR Species-specific Blood, BAL
CT imaging Structural changes Chest/sinuses

Mucormycosis

Antifungal Selection


Indication First-line
Invasive aspergillosis Voriconazole or isavuconazole
Mucormycosis Liposomal amphotericin B
Candidemia Echinocandin
Empirical therapy Liposomal amphotericin B or caspofungin





Specific infections

Central venous catheter (CVC) infections

Central venous catheter (CVC) infections


Management depends on:

  • Organism (CoNS vs S. aureus vs gram-negatives)
  • Presence of tunnel/pocket infection
  • Clinical stability

Catheter removal indicated for:

  • S. aureus, Candida, Pseudomonas bacteremia
  • Tunnel infection
  • Persistent bacteremia despite antibiotic therapy

Skin lesions

Evidence of disseminated infection (hematogenous spread)

Oral- Upper GI infection

Candida- Thrush, esophagitis (odynophagia, retrosternal pain)

Vesicular lesions- painful grouped lesions→ulceration

Disseminated HSV- widespread vesicular rash , hepatitis (↑ AST/ALT, sometimes severe), pneumonitis

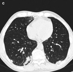
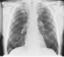
Pneumonia

Among febrile neutropenic patients with a “normal” chest x-ray,
up to 60% of patients may have findings of pneumonia on CT

Common CT findings

Bronchoscopy

Neutropenic Enterocolitis (Typhlitis)

Neutropenic enterocolitis (Typhlitis)

Key features:

  • Fever, abdominal pain, diarrhea
  • RLQ tenderness
  • CT: Bowel wall thickening

Management:

  • Broad-spectrum antibiotics including anaerobes
  • Bowel rest, NG suction if obstruction
  • Surgery only for perforation/hemorrhage

Clostridioides difficile colitis


  • First-line treatment: Reduce unnecessary antibiotics →oral vancomycin 125 mg QID for 10 days or fidaxomicin 200 mg BID for 10 days

  • Fulminant disease: Oral vancomycin 500 mg QID (or via NG tube) combined with IV metronidazole 500 mg TID; →consider rectal vancomycin instillation if ileus is present

  • Ongoing/worsening CDI: Fidaxomicin if initially treated with vancomycin→ fecal microbiota transplant (if not neutropenic)

  • CDI resolved but at risk of recurrence: Consider continuing vancomycin or fidaxomicin if diarrhea recurs, and prophylactic vancomycin during subsequent antibiotic courses → taper regimens fecal transplant (not neutropenic) or bezlotoxumab

How to assess clinical response
in febrile neutropenic patient?


  • Documented infection: Treat for the appropriate duration based on the specific pathogen and site (see relevant guidelines)

    • Duration of treatment is not necessarily longer in neutropenia
  • Fever resolved, unknown origin, ANC ≥500: Discontinue empiric antibiotics.

  • Fever resolved, unknown origin, ANC <500: Options include discontinuing therapy, de-escalating to prophylaxis, or continuing the current regimen until neutropenia resolves.

  • Not responding/clinically worsening: Broaden antimicrobial coverage based on clinical and microbiologic data, obtain imaging, consider adding G-CSF, and obtain ID consultation.

  • Persistent fever ≥4 days on empiric antibiotics: Consider adding antifungal therapy with anti-mold activity; duration guided by clinical course, neutrophil recovery

Typical treatment duration (NCCN 2025 Guidelines)

Causes of treatment failure





Antimicrobial stewardship

Core components


  1. Surveillance - Resistance patterns, consumption, outcomes
  2. Protocols - Local guidelines for prevention and treatment
  3. Rapid diagnostics - Enable early de-escalation
  4. Dose optimization - TDM for azoles, drug interaction screening, PK/PD-guided dosing

Requires multidisciplinary collaboration

Key stewardship interventions



  • Timely de-escalation based on culture results
  • Duration optimization (avoid excessive courses)
  • IV to PO conversion when appropriate
  • Prospective audit and feedback
  • Restricted antibiotic authorization
  • Education for prescribers

Summary: Key takeaways


  1. Neutropenia is the primary risk factor, but many others contribute
  2. Epidemiology is shifting toward gram-negatives and MDR
  3. Prophylaxis must be tailored to risk and local epidemiology
  4. Febrile neutropenia requires prompt empirical therapy
  5. Escalation vs de-escalation strategies depend on patient risk
  6. Antifungal therapy can be empirical or diagnostic-driven
  7. Stewardship is essential to preserve antimicrobial efficacy
Basile D, Di Nardo P, Corvaja C, Garattini SK, Pelizzari G, Lisanti C, et al. Mucosal Injury during Anti-Cancer Treatment: From Pathobiology to Bedside. Cancers 2019;11:857. https://doi.org/10.3390/cancers11060857.
Bodey Gerald P. M Buckley. Quantitative relationships between circulating leukocytes and infection in patients with acute leukemia. Annals of Internal Medicine 1966;64:328–40. https://doi.org/10.7326/0003-4819-64-2-328.
Chastain DB, Spradlin M, Ahmad H, Henao-Martínez AF. Unintended consequences: Risk of opportunistic infections associated with long-term glucocorticoid therapies in adults. Clinical Infectious Diseases 2023:ciad474. https://doi.org/10.1093/cid/ciad474.
Coppola PE, Gaibani P, Sartor C, Ambretti S, Lewis RE, Sassi C, et al. Ceftolozane-tazobactam treatment of hypervirulent multidrug resistant pseudomonas aeruginosa infections in neutropenic patients. Microorganisms 2020;8:1–11. https://doi.org/10.3390/microorganisms8122055.
Gerson SL, Talbot GH, Hurwitz S, Strom BL, Lusk EJ, Cassileth PA. Prolonged granulocytopenia: The major risk factor for invasive pulmonary aspergillosis in patients with acute leukemia. Annals of Internal Medicine 1984;100:345–51.
Mikulska M, Viscoli C, Orasch C, Livermore DM, Averbuch D, Cordonnier C, et al. Aetiology and resistance in bacteraemias among adult and paediatric haematology and cancer patients. Journal of Infection 2014;68:321–31. https://doi.org/10.1016/j.jinf.2013.12.006.
Sickles EA, Greene WH, Wiernik PH. Clinical presentation of infection in granulocytopenic patients. Archives of Internal Medicine 1975;135:715–9.