Principles of Antibiotic Therapy



Prof. Russell Lewis
Department of Molecular Medicine
University of Padua


russelledward.lewis@unipd.it
https://github.com/Russlewisbo


slides available at: www.padovaid.com

Antibiotics- The Medical Miracle

Medicine in the pre-antibiotic era

A copy of a doctor’s prescription issued to a patient in Massachusetts in 1925. The doctor here wrote in a common Latin term, “Spts frumenti” or spiritus frumenti -i.e. whiskey

Dawn of antibiotic discovery


Paul Ehrlich, Salvarsan 1909

Alexander Fleming, Penicilllin 1929

Purified and tested by Florey, Chain, Heatley-1940

Gerhard Domagk, Sulfanilamides 1931

Mortality reduction with antibiotic therapy



Disease Pre-antibiotic era Antibiotic era Change
Community-acquired pneumonia ~ 35% ~ 10% -25%
Nosocomial pneumonia ~ 60% ~ 30% -30%
Bacterial endocarditis ~ 100% ~ 25% -75%
Gram-negative bacteremia ~ 70% ~ 10% -60%
Bacterial meningitis > 80% < 20% -60%
Cellulitis ~ 11% < 0.5% -10%


Antibiotics:
Essential for practice of modern medicine


  • Enable complicated and deeply-invasive surgery

  • Aggressive chemotherapy for cancer

  • Fundamental aspects of critical care

    • e.g., central venous catheters, mechanical ventilation
  • Care for premature infants, mothers (post-partum sepsis)

  • Solid organ and stem cell transplantation

  • Antibiotics created a revolution in the practice of medicine, transforming a primarily diagnostic-focused field to a therapeutic, interventional profession

Current antibiotic resistance statistics

World Health Organization (WHO)
Pathogen Priority List

Methicillin-resistant
Staphylococcus aureus (MRSA)


Carbapenem-resistant Enterobacterales (CRE)


Multi-drug resistant (MDR)
Acinetobacter baumannii


Antibiotic discovery is slowing



Antibiotics are a societal trust



  • Antibiotic overprescription is a tragedy of the commons: individual undertakes an action that they perceive to be in their own self-interest but that causes harm to society at large

  • When such an action is undertaken rarely, the harm to society is not noticeable

  • When it happens tens of millions of times per year, as with inappropriate antibiotic prescriptions, the collective harm to society can be catastrophic

  • Given the power of antibiotics to save lives, and the constant erosion of that power through their use, one of the most important functions of the physician is to serve as an expert in the use and protection of antimicrobial agents

Antibiotic stewardship


Principles for effective antibiotic use

  1. Accurate differential diagnosis

  2. Only use antibiotics when they alter the clinical course of disease

  3. Empirically target microbes in differential diagnosis

  4. A lower threshold for empirical therapy should be used in critically-ill patients

  5. Host factors affect the spectrum of empirical therapy

  6. Use PK/PD principles to select and optimally dose treatment

  7. De-escalate antibiotic therapy based on microbiology results and clinical (biomarker) responses

  8. If therapy is not working, consider source control or alternative diagnosis before broadening therapy

  9. Distiniguish new infection from failure of initial therapy

  10. The duration of therapy should be as short as possible based on available evidence (shorter is better)

Principle #1: Develop an accurate
differential diagnosis



What is the most important component in diagnosing infectious diseases?


A. Patient medical history

B. Physical exam

C. Radiological imaging (e.g., X-ray, CT or MRI)

D. Biomarkers of infections (e.g., c-reactive protein, procalcitonin)

E. Microbiological tests (e.g., culture, PCR, serology)

Medical history is 80% of diagnosis?


  • What are the current symptoms (e.g., fever, pain, cough, breathlessness, confusion, lethargy, vomiting, and any acute or subacute changes in functional status such as new urinary incontinence, falls, or decreased oral intake)

    • 8 cardinal descriptors: Timing, Location, Character, Aggravating factors, Alleviating factors, Associated symptoms, Severity, Setting
  • Fever How high, how long, what pattern?

  • Risk factors for infection (e.g., indwelling devices -urinary catheters, vascular catheters, prosthetic joints, cardiac devices), recent medical procedures, immunosuppression, diabetes, history of injection drug use, and previous infections

  • Travel or exposure history (e.g., recent travel -countries, regions, urban/rural, dates, exposure to animals or insect bites, contact with ill individuals, and consumption of potentially contaminated food or water)

  • Sexual history and risk for sexually transmitted infections

  • Vaccination history

  • Past medical and surgical history, medication use, and allergies?

  • Recent changes in medications or antibiotic use?

  • Social history? (e.g. long-term care facility, occupation, hobbies, substance use, unusual exposures)

Case Example

  • Chief complaint: 34 year-old farmer from Sicily presents with worsening back pain after sitting for more than couple of hours

  • No other significant past medical history

  • Spondylitis etiologies:

    • > 50% Staphylococcus aureus, Staphylococcus epidermidis

    • ~ 25% Streptococcus spp., Enterococcus spp. Pseudomonas aeruginosa, Enterobacter spp., Proteus spp. E. coli, Serratia spp., Anaerobes, Mycobacterium tuberculosis (Pott’s disease)

Initial lateral radiograph (left) shows a cortical disruption at the inferior epiphyseal plate of L4 vertebral body (arrows). The sagittal fat suppressed contrast enhanced T1-w MR image (right) shows septic discitis (open arrow) and bone marrow edema on both L4 and L5 vertebral bodies (arrows), suggesting spondylitis.

Initial lateral radiograph (left) shows a cortical disruption at the inferior epiphyseal plate of L4 vertebral body (arrows). The sagittal fat suppressed contrast enhanced T1-w MR image (right) shows septic discitis (open arrow) and bone marrow edema on both L4 and L5 vertebral bodies (arrows), suggesting spondylitis.

Pertinent history


  • Patient works as a sheep and cattle farmer in a small enterprise 54 minutes from Messina that produces milk and cheese: Percorino salato and Ricotta

  • Patient reported pain was first noticed at end of May after a bad case of flu “fever, achy joints, headache”

  • Father (who also works on farm) also has worsening hip pain after sitting for long periods and will be evaluated by an orthopedic doctor for hip replacement

  • Other 3 brothers and cousin who work on farm report no illness

Could this be brucellosis?


Zoonotic Gram-negative coccobacilli

Diagnosis and treatment of
Brucellosis spondylitis:

Specialized diagnostics and therapy!


  • Blood cultures require special procedures (prolonged incubation), bone biopsy culture may be needed

  • Brucella PCR from clinical specimen

  • Combination serologic studies

  • Treatment- Gentamicin + Doxycycline + Rifampin

    • Unconventional treatment: would not be covered by standard spondylitis treatment regimens

Antibiotics are usually started empirically

infection_timeline t0 0h t1 1h t24 24h t48 36-48h t72 72-96h definitive Change to definitive therapy for patient-specific pathogens empiric Begin empiric therapy for likely pathogens culture Culture suspected sites suspect Suspect infection suspect->culture gram Gram stain culture->gram id Identification gram->id suscept Susceptibilities id->suscept

Antibiotics are usually started empirically

Antibiotics should only be started if the differential diagnosis includes likely invasive bacterial infections:
>90% of upper respiratory tract infections are caused by viruses

Clinicians frequently overestimate the risk of bacterial infection

Doctors frequently underestimate the risks of antibiotic therapy



1 in 5 patients given antibiotic prescriptions are harmed by them because of adverse events or superinfection by resistant pathogens or Clostridioides difficile

Every additional 10 days of antibiotic therapy confers a 3% increased risk of an adverse drug effect

A combination of:

  • Fear from uncertainty of the diagnosis

  • Lack of appreciation of how dangerous antibiotics can be

Association of adverse events with antibiotic use in hospitalized patients

Positive cultures
are not always proof of infection


  • A positive culture in the absence of signs or symptoms of infection should not reflexively trigger antibiotic therapy

  • Without symptoms, a positive culture often represents colonization or contamination

Wound swabs Urine cultures Bronchial alveolar lavage Respiratory samples GI tract/stool

Simple stewardship interventions

Simple stewardship intervention

Principle #2: Only use antibiotics when they alter a patient’s clinical course of patients

Antibiotics are not the only answer


  • The administration of antibiotics should not be a reflexive response to infection, but should be incorporated into an overall, rational therapeutic plan for the patient.

  • Patients who lack bacterial infections cannot have their clinical course improved by antibiotics (as discussed in Principle #1).


Classic example: osteomyelitis with persistently exposed bone

Ethical dilemmas for use of
antimicrobial therapy


End of life (comfort care) Non-adherent HIV therapy

Principle #3: Empirically target microbes in differential diagnosis

Know the spectrum of activity



  • Spectrum of activity of the empirical antiinfective agents prescribed should be tailored to cover the likely microbial flora that cause the diseases in the differential diagnosis

Sanford Guide

Community-acquired vs. nosocomial

Basic principles of coverage



Community infections Nosocomial infections
  • Community-associated infections are infrequently caused by MDR gram-negative bacteria.

  • Empirical antibiotic coverage should not routinely considered

  • More often caused by more resistant pathogens, and hence require coverage for Pseudomonas or other non-fermenting gram-negative bacilli
Avoid using routine methicillin-resistant S. aureus (MRSA) empirical therapy in patients who are unlikely to be infected with MRSA Greater risk for MRSA, especially is patient has recently received antibiotic therapy
Reserve the use of antimicrobials that can be used as last-line oral therapeutic options (e.g., fluoroquinolones) for infections for which there are no reasonable alternative therapies May require “frontline” used of lastline antibiotic if patient has risk factors for multidrug resistant infection



Special circumstances create exceptions: For example, community-acquired pneumonia and intraabdominal, skin, and urinary infections may be caused by Pseudomonas in patients with cystic fibrosis or with history of bronchiectasis, chronic dialysis patient, or patient with indwelling catheters or recent surgery.

Principle #4: There is a lower threshold for empirical therapy in critically-ill patients

Antibiotic timing is critical in septic shock

Principle #5: Host factors affect the spectrum of empirical therapy

Common immunocompromised conditions

  1. Chronic diseases (e.g., type 1 diabetes, chronic obstructive pulmonary disease)

  2. Autoimmune diseases (e.g., lupus, rheumatoid arthritis)

  3. Genetic diseases (primary immunodeficiencies)

  4. Cancer and/or chemotherapy

  5. Human immunodeficiency virus (HIV)

  6. Solid organ or bone marrow transplant

  7. Advanced age

  8. Malnutrition

  9. Chronic use of corticosteroids or other immunosuppressive medications

  10. Chronic infections

  11. Smoking

Glucocorticoids:
“Credit cards” of immunosuppressive therapy

Dose-dependent increase in the risk of opportunistic infections > 10 mg of prednisone equivalents (PEQ) per day for 2-4 weeks

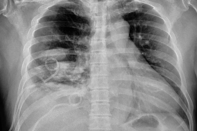
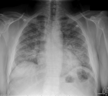
Community acquired pneumonia (CAP)
vs. Pneumocystis jirovecii pneumonia (PCP)

Diffuse bilateral infiltrates

Patchy areas of ground-glass attenuation

Principle #6: Use PK/PD principles to optimize
treatment selection and dosing

G patient Patient factors PK Pharmacokinetics (PK) patient->PK PKPD PK/PD PK->PKPD drug Drug factors drug->PK intrinsic Intrinsic resistance PD Pharmacodynamics (PD) intrinsic->PD PD->PKPD acquired Acquired resistance acquired->PD inoculum Infection inoculum inoculum->PD microbiological Microbiological outcome PKPD->microbiological clinical Clinical outcome microbiological->clinical

Pharmacology of antimicrobials

G cluster_0 Pharmacokinetics (PK) cluster_1 Pharmacodynamics (PD) start Dosing regimen dosing Conc. vs. time in serum       Absorption Distribution Metabolism Elimination start->dosing tissue Conc. vs. time in tissue dosing->tissue infection Conc. vs. time at site of infection dosing->infection PD1 Pharmacological or   toxicological effect tissue->PD1 PD2 Antimicrobal effect vs. time infection->PD2

Key pharmacokinetic variables


Key pharmacokinetic variable:
Volume of distribution (Vd)


  • The volume which appears to hold the drug if it was present in the body at the same concentration found in plasma

    • It is estimated, not directly measured
  • Reported in liters (L) or liters per kilogram (L/kg)

  • Average plasma volume in adults is approximately 3 L

Key pharmacokinetic variable:
Volume of distribution (Vd)

Volume of distribution



  • Plasma volume= 3L+ Extracellular water 16 L = Total body water (~20L)

  • Higher Vd (e.g., > 46 L Vd)= sequestered in depot (e.g., fat) and serum concentrations will be lower

Volume of distribution (Vd):
relevance for antibiotic selection

Vd alterations

Vd changes in critical illness

Drug penetration in ventilator-associated pneumonia

Anatomically-privileged sites

Anatomically-privileged sites

Match the antibiotic to site of infection

Urinary concentrations of antibiotics

Second key pharmacokinetic variable:
Clearance (CL)

  • Drug elimination from the body

    • Described by volume of blood removed of drug unit per time

    • Unit of measure mL/min or L/hr

  • Clearance is affected by patient’s disease, organ function genetics, interactions with other drugs…etc.

  • Total body clearance:

    • CL renal + CL hepatic + CL other
  • Formulas for calculating antibiotic clearance can be found in the medical literature or some drug references

Important distinctions between
Vd and CL in antibiotic dosing


  • Vd and CL are both physiologically-based

    • A change in patient fluid status or distribution can affect volume of distribution (Vd)

    • A change in patient kidney or liver function affects drug clearance (CL)

  • However, these parameters do not directly interact with each other

    • A change in volume of distribution does not change clearance and vice versa
  • Volume of distribution is useful for calculating an initial dose of antibiotic regimens (loading dose)

  • Clearance is useful for calculating maintenance doses of antibiotic regimens

    • CL is NOT USED to determine how much of an initial dose (or loading dose) of an antibiotic to give to a patient

Most antibiotics are eliminated via the kidneys and maintenance doses must be adjusted for renal function

Estimating renal function


Cockcroft-Gault formula (other formulas MDRD…etc.)


\[ \text{CrCl (mL/min)} = \frac{(140 - \text{age}) \times \text{weight (kg)}}{72 \times \text{SCr (mg/dL)}} \times 0.85 \text{ (if female)} \]


  • Formula developed primarily in Caucasian males with chronic renal disease

  • Does not take into account effects on older age, comorbidities and drug interactions with renal tubular secretion

  • Antibiotic dosing in dialysis (drug-specific dosing guidance)

Problems of using serum creatinine-based dosing adjustments


  • Antibiotic renal dose adjustments in drug labels are based on patients with chronic kidney disease

  • Renal impairment is acute, not chronic, in up to 50% of patients with infection and frequently resolves within the first 48 hours

  • Creatinine-based equations for estimates of CrCl are based on steady-state conditions, and not as accurate in acute kidney injury

    • Decreases in SeCr are delayed with respect to injury resolution
  • Renal dose reduction in the first 48 hours of therapy may unnecessarily result in underdosing of antibiotics, especially for safe antibiotics

Hepatic clearance of antibiotics

Drug interaction screening



https://www.uptodate.com/contents/search
UptoDate

PK/PD indices

How is the PK/PD index identified?

How are PK/PD indices identified?

Do PK/PD indices correlate with
clinical outcome of antibiotic therapy


PK/PD characteristics of common
antibiotic classes

Application: Optimized dosing of meropenem

https://www.tdmx.eu/Launch-TDMx/

Daptomycin is inactivated in the lung


Antibiotic activity in abscess


Aminoglycosides

  • Bind and are inactivated by purulent material

  • Decrease aminoglycoside uptake into facultative aerobic bacteria at low pH

  • Penicillins and tetracyclines

    • Bound by hemoglobin, less effective with hematoma formation

    • Emphasizes importance of source control (abscess drainage, removal of prosthetic material)

Principle #7: De-escalate antibiotic therapy based on microbiology results and clinical (biomarker) responses


Antibiotic de-escalation


  • De-escalation with pathogen identification

    • e.g., stopping empirical vancomycin in patient with Gram-negative bacilli in blood cultures
  • Clinical improvement-reduction in fever and leukocytosis

  • Empiric de-escalation of therapies for highly-resistant pathogens if they have not grown from culture

    • e.g., stopping empirical vancomycin in a patient without positive MRSA cultures
  • Biomarkers: C-reactive protein (clinical utility questioned), procalcitonin -areas of diagnostic stewardship as tests are frequently abused

Incorporation of procalcitonin into therapeutic decisions reduces antibiotic use

Choosing therapy :
gram-stain vs. guidelines

  • Gram strain guided therapy resulted in a 30% reduction in use of anti-pseudomonal agents and 40% reduction in MRSA agents

  • Gram-stain guided therapy resulted in higher rate of appropriate antibiotic escalation (7% vs. 1%, p=0.03)

Susceptibility testing-Mean inhibitory concentration

Principle #8: If therapy is not working, consider source control or alternative diagnosis before assuming resistance and broadening therapy

  • Consider changing antibiotics of the following parameters do not improve:

    • Fever curve
    • White blood cell count
    • Purulent secretions
    • Signs of inflammation (rubor, tumor, dolor, calor)
    • Biomarkers (procalcitonin)

Source control



Occult subcutaneous abscess in cellulitis New abscess formation in intraabdominal infection Empyema in community-acquired pneumonia Visceral or skeletal abscess in patient with bacteremia Failure to remove a central venous catheter

Biofilms: A key source of antibiotic failure

Antibiotic FAIL



  • False diagnosis

  • Allergies

  • Intercurrent infections

  • Localized process

Principle #9: Distinguish new infection from failure of initial therapy


  • New onset of infectious signs, symptoms, and biomarkers after resolution of prior infection should raise the concern of a new infection rather than persistence of the original infection

  • Rarely, recrudescence of signs and symptoms may reflect emergence of antibiotic resistance on therapy from the initial pathogens

    • This may be seen more with specific bacterial pathogens, such as Acinetobacter baumannii, than with others

    • An initial apparent response to infection followed days or weeks later by new onset of infectious signs or symptoms should prompt a complete reevaluation of the patient for a new infection, including reculturing and imaging if necessary

  • **I*n these patients, it is generally reasonable to broaden therapy to cover highly resistant pathogens**

    • Such patients have been exposed to recent courses of antibiotics and have a higher risk of being infected by antibiotic-resistant pathogens
  • When changing antibacterial therapies because of breakthrough infection or lack of response to initial therapy, it is generally advisable to change one antibiotic at a time (to a different class if possible)

Principle #10: The duration of therapy should be as short as possible based on evidence


Disease Short course (days) Long course (days) Outcome
Bacteremia, gram-negative 7 14 Equivalent
Chronic bronchitis and COPD ≤ 5 days ≥ 7 Equivalent
Intra-abdominal infection 4 10 Equivalent
Neutropenic fever Until afebrile and stable Until, afebrile, stable and non-neutropenic Equivalent
Osteomyelitis, chronic 42 84 Equivalent
Pneumonia, community-acquired 3-5 7-10 Equivalent
Pneumonia, nosocomial (including VAP) ≤ 8 10-15 Equivalent
Pyelonephritis 5-7 10-14 Equivalent
Skin infections (cellulitis, major abscess, wound infections) 5-6 10-14 Equivalent
Sinusitis, acute bacterial 5 10 Equivalent

Common myths of antibiotic therapy

Myth 1:
“Bactericidal” antibiotics are more effective
than “bacteriostatic”

  • Bactericidal activity: concentration of drug that results in 1000-fold reduction in inoculum within 24 hours

  • Bactericidal antibiotic: MBC of drug is 4-fold or less above the MIC

However, “bacteriostatic” drugs do kill bacteria, they just require higher concentrations

Systematic literature reviews: cidal vs. static
antibiotics for bacterial infections*



  • 56 randomized controlled trials identified

  • 49/56 found no difference in clinical outcomes, including highly-lethal infections in critically-ill patients

    • Typhoid fever, severe pneumonia, severe sepsis
  • 6 trials reported linezolid (static antibiotic) to be superior to “cidal” agents (vancomycin, teicoplanin or cephalosporins)

  • 1 trial found imipenem superior to tigecycline in ventilator associated pneumonia- however tigecycline dosage was too low:

    • A subsequent study using double to dose of tigecycline found no difference

Other examples where more rapid bactericidal activity failed to show clinical superiority

  • Daptomycin (rapidly bactericidal) vs. vancomycin (slowly bactericidal) against Staphylococcus aureus bacteremia and right-sided endocarditis

  • Addition of aminoglycosides to ß-lactams or ß-lactams to vancomycin/daptomycin results in more rapid kill of staphylococci, but in clinical trials no improvement in outcomes and higher rates of nephrotoxicity

  • Bacterial endocarditis: Historical artifact?

    • Early studies compared high Vd drugs (tetracyclines, marcolides) to penicillins (low Vd drugs) for endocarditis

    • Low blood concentrations with tetracyclines and macrolides makes them a poor choice for high-grade bloodstream infections

Myth 2: Oral antibioic therapy is less effective
than IV for complex infections



  • Osteomyelitis: Earlier studies with oral sulfanilamide, erythromycin, tetracycline with low blood and bone concentrations were associated with higher failure rates-did not surpass pathon MICs

  • However, numerous modern antibiotics can acheive levels in blood and bone that are well in excess of target pathogen MICs

Oral is the new IV


Transitioning to oral therapy:
Key considerations


  • Is the patient hemodynamically stable?

  • Will the patient absorb the medication (functioning GI tract)?

  • Can the patient take drugs by mouth

  • Do we have an antibiotic option with good bioavailability for the infection?

Oral bioavailability of antibiotics

Myth #3: Combination therapy:
The good, the bad,…and the ugly



  • Are 2, 3 or 4 drugs better than 1?…..it depends on the situation

  • Synergistic combination the killing effect of two or more antibiotics is greater than the added effect of each antibiotic by itself

  • Clinically, suggests that the success rate (however measured) is better when the two antibiotics are administered simultaneously

Microbiological rationale: Checkerboard test


Combination therapy: The good


  • Spectrum: More than one drug is required to provide adequate coverage

    • e.g., adding macrolide or doxycycline to cover atypical pathogens not treated by backbone ß-lactam

    • Specific ICU ward or hospital ward with high rates of MDR- Two drugs may have greater coverage of MDR pathogens

  • Preventing emergence of resistance in specific clinical scenarios

    • Tuberculosis: Slow growth, non-replicating or low-replicating persister cells and can achieve high bacterial densities in cavitary disease with spontaneous mutations

    • HIV and hepatitis C: Resistance converts a treatable (HIV) or curable (HCV) infection into a fatal illness

Combination therapy: The good, cont.



  • Two active agents results in superior clinical outcomes compared to single active agent

    • Slow growing infection/non replicating persisters- e.g. anti-tubular activity of rifampin and PZA ensure (1) empirical therapy is active; (2) prevent emergence of resistance; (3) improve clinical cure with shorter duration of therapy

    • Bone and joint infections (nonreplicating bacteria in biofilm): Reduced relapse rates with addition of rifampin, especially to fluoroquinolones

Exotoxin-mediated infections-
Necrotizing fasciitis



  • Streptococci or Clostridium infections that are extremely destructive and aggressive
  • Addition of clindamycin or linezolid as a 2nd agent terminates protein synthesis: shutting down toxin production in the bacteria
  • Adding protein synthesis inhibitors to backbone antibacterial therapy has been associated with improved survival in retrospective studies

Eukaryotic infections:
Combination therapy is beneficial

  • Cryptococcal meningitis (fungal infection): Amphotericin B + 5-FC

  • Protozoal infection (Plasmodium vivax P. ovale): Primaquine added to backbone therapy to kill hepatic -phase hypnozoites not killed by other agents, which lead to late relapse

  • Acute amebic colitis: Metronidazole + luminicidal agent (iodoquinol or paromomycin) to kill encysted, non-meatabolically active organisms in the bowel lumen

  • Nematode infections: Doxycycline added to ivermectin or albendazole to kill commensal bacteria Wolbachia, which play a role in the parasite viability and fertility.

  • Neurocystosis: Albendazole plus praziquantel: Dual mechanism of killing and pharmacokinetic interaction leading to higher drug exposures in the CNS and cysts within the sequestered site

Combination therapy the bad-Redundant definitive therapy for “typical infections”


  • Very few data supporting the use of two active agents for acute, pyogenic bacterial infections

    • Organisms are in planktonic growth, not multiple phases of life cycle

    • No commensal organisms inside the bacteria to kill

    • Pharmacology and killing activity of single agents is good

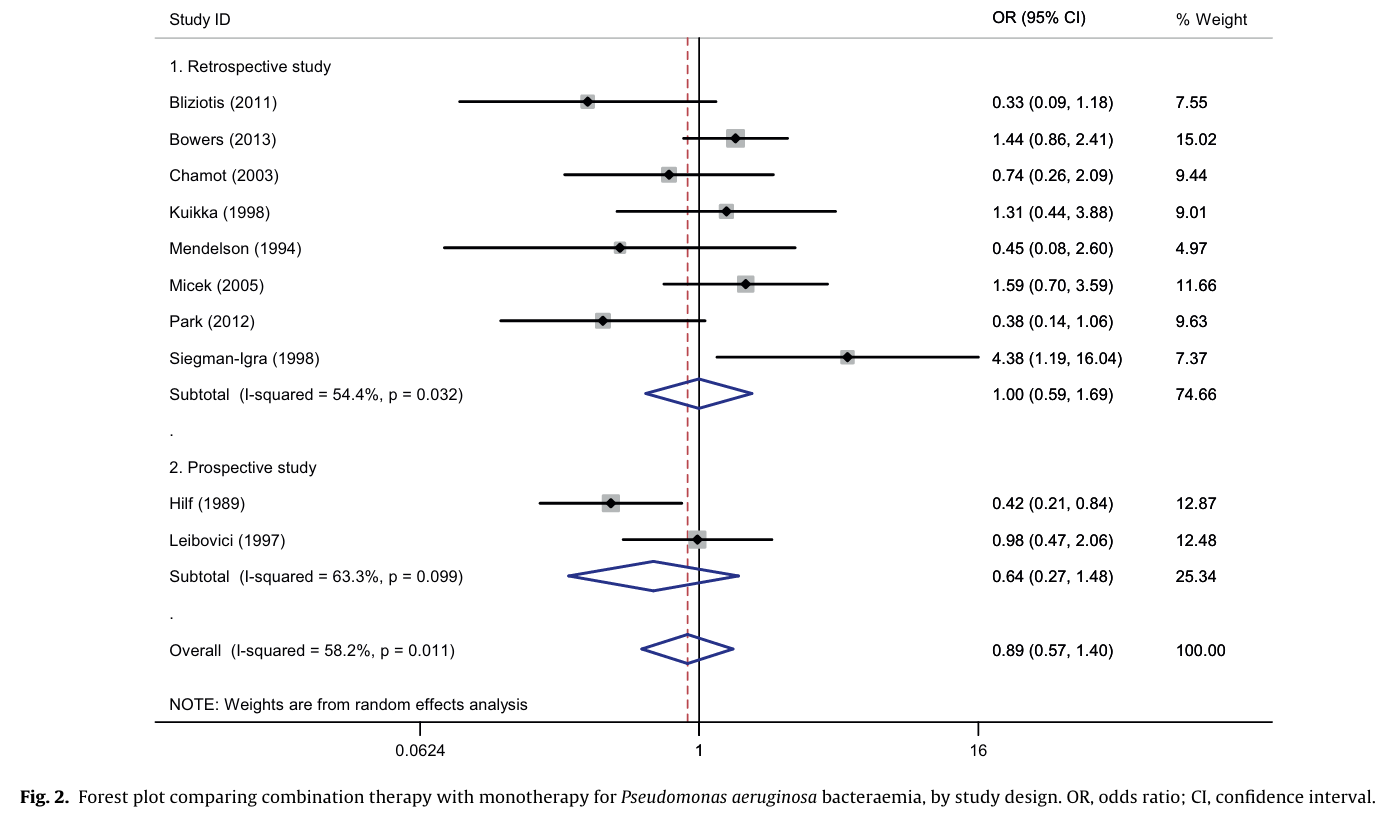
Combination therapy for
Pseudomonas aeruginosa

  • Combination therapy studies for severe infections/sepsis have also found no advantage for dual therapy

  • Dual therapy more likely to result in toxicity and microbiome harm- potential resistance to 2 drug classes

Combination therapy- The ugly: imperfect data



  • Fungal infections outside cryptococcosis

    • Candida infections- no clear benefit

    • Aspergillus infection- possible benefit with echinocandins and triazoles

Does combination therapy prevent resistance?


  • Yes- Tuberculosis, HIV, HCV

  • In test tubes (in theory) against pyogenic bacteria it may work- but Pyrrhic victory- greater selection for resistance, greater impact on microbiome?

Conclusions

  • Antibiotic therapy are miracle cures that have fundamentally altered the practice of medicine
  • Their incredible power to effectively treat patients is fleeting
  • Physicians bear the burden of using antibiotics effectively to heal and cure patients while preserving this awesome power

References



Chastain DB, Spradlin M, Ahmad H, Henao-Martínez AF. Unintended consequences: Risk of opportunistic infections associated with long-term glucocorticoid therapies in adults. Clinical Infectious Diseases 2023:ciad474. https://doi.org/10.1093/cid/ciad474.
Chow AW, Benninger MS, Brook I, Brozek JL, Goldstein EJC, Hicks LA, et al. IDSA clinical practice guideline for acute bacterial rhinosinusitis in children and adults. Clinical Infectious Diseases 2012;54:e72–112. https://doi.org/10.1093/cid/cir1043.
Craig WA. Pharmacokinetic/pharmacodynamic parameters: Rationale for antibacterial dosing of mice and men. Clinical Infectious Diseases 1998;26:1–10. https://doi.org/10.1086/516284.
Crass RL, Rodvold KA, Mueller BA, Pai MP. Renal dosing of antibiotics: Are we jumping the gun? Clinical Infectious Diseases 2019;68:1596–602. https://doi.org/10.1093/cid/ciy790.
Gilbert DN. Urinary tract infections in patients with chronic renal insufficiency. Clinical Journal of the American Society of Nephrology 2006;1:327. https://doi.org/10.2215/CJN.01931105.
Hu Y, Li L, Li W, Xu H, He P, Yan X, et al. Combination antibiotic therapy versus monotherapy for pseudomonas aeruginosa bacteraemia: A meta-analysis of retrospective and prospective studies. International Journal of Antimicrobial Agents 2013;42:492–6. https://doi.org/10.1016/j.ijantimicag.2013.09.002.
Kumar A, Roberts D, Wood KE, Light B, Parrillo JE, Sharma S, et al. Duration of hypotension before initiation of effective antimicrobial therapy is the critical determinant of survival in human septic shock*. Critical Care Medicine 2006;34:1589. https://doi.org/10.1097/01.CCM.0000217961.75225.E9.
Luu A, Dominguez F, Yeshoua B, Vo C, Nallapa S, Chung D, et al. Reducing catheter-associated urinary tract infections via cost-saving diagnostic stewardship. Clinical Infectious Diseases 2021;72:e883–6. https://doi.org/10.1093/cid/ciaa1512.
Massis FD, Girolamo AD, Petrini A, Pizzigallo E, Giovannini A. Correlation between animal and human brucellosis in italy during the period 19972002. Clinical Microbiology and Infection 2005;11:632–6. https://doi.org/10.1111/j.1469-0691.2005.01204.x.
Schuetz P, Briel M, Christ-Crain M, Stolz D, Bouadma L, Wolff M, et al. Procalcitonin to guide initiation and duration of antibiotic treatment in acute respiratory infections: An individual patient data meta-analysis. Clinical Infectious Diseases 2012;55:651–62. https://doi.org/10.1093/cid/cis464.
Spellberg B. Principles of antibiotic therapy. vol. 1. 10th ed., 2025a, p. 218–28.
Spellberg B. Principles of antibiotic therapy. Mandell, douglas, and bennett’s principles and practice of infectious diseases 10th edition, vol. 1. 10th ed., 2025b, p. 218–28.
Tamma PD, Avdic E, Li DX, Dzintars K, Cosgrove SE. Association of adverse events with antibiotic use in hospitalized patients. JAMA Internal Medicine 2017;177:1308–15. https://doi.org/10.1001/jamainternmed.2017.1938.
Theuretzbacher U. Pharmacokinetic and pharmacodynamic issues for antimicrobial therapy in patients with cancer. Clinical Infectious Diseases 2012;54:1785–92. https://doi.org/10.1093/cid/cis210.
Wald-Dickler N, Holtom PD, Phillips MC, Centor RM, Lee RachaelA, Baden R, et al. Oral is the new IV. Challenging decades of blood and bone infection dogma: A systematic review. The American Journal of Medicine 2022;135:369–379.e1. https://doi.org/10.1016/j.amjmed.2021.10.007.
Wald-Dickler N, Holtom P, Spellberg B. Busting the myth of “static vs. Cidal”: A systemic literature review. Clinical Infectious Diseases: An 2017. https://doi.org/10.1093/cid/cix1127.
Yoshimura J, Yamakawa K, Ohta Y, Nakamura K, Hashimoto H, Kawada M, et al. Effect of gram stain–guided initial antibiotic therapy on clinical response in patients with ventilator-associated pneumonia: The GRACE-VAP randomized clinical trial. JAMA Network Open 2022;5:e226136. https://doi.org/10.1001/jamanetworkopen.2022.6136.